Dr. Mayle Vizueta is a licensed Dental Surgeon with over 12 years of progressive clinical experience in public institutions, private practice, and independent settings. Her professional background includes service within Peru’s public healthcare system (SERUMS) and a specialized dental clinic affiliated with the National Police, providing care in high-demand and underserved communities.Her clinical focus is centered on Comprehensive Oral Rehabilitation and Functional Aesthetic Dentistry, designing structured, evidence-based treatment plans aimed at restoring masticatory function, achieving long-term stability, and improving overall patient quality of life. She integrates multidisciplinary planning, thorough diagnostic protocols, and strict biosecurity standards into her daily practice.Dr. Vizueta also has experience managing a private dental practice under a patient-centered care model, combining clinical excellence, ethical standards, and sustainable treatment outcomes.Her professional philosophy is grounded in restoring function, preserving structure, and delivering measurable, long-term improvements in oral health and patient well-being.

Advanced Esthetic Smile Rehabilitation Using Direct Composite VeneersA dental professional presented with esthetic concerns related to tooth discoloration, altered tooth morphology, inadequate tooth proportions, and an unfavorable smile curvature.A comprehensive digital smile design protocol was conducted, including facial and dental analysis, proportional evaluation, and minimally invasive restorative planning. Direct composite resin veneers were performed using advanced layering techniques and high-performance biomaterials to optimize optical properties, morphology, and smile arc consonance.The treatment resulted in improved dental proportions, color harmonization, facial integration, and esthetic balance, demonstrating the effectiveness of minimally invasive esthetic rehabilitation protocols.This case highlights expertise in advanced esthetic dentistry and the impact of conservative restorative techniques on professional confidence and psychosocial well-being in healthcare professionals.



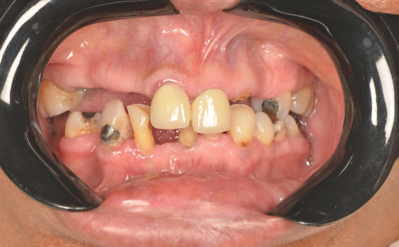
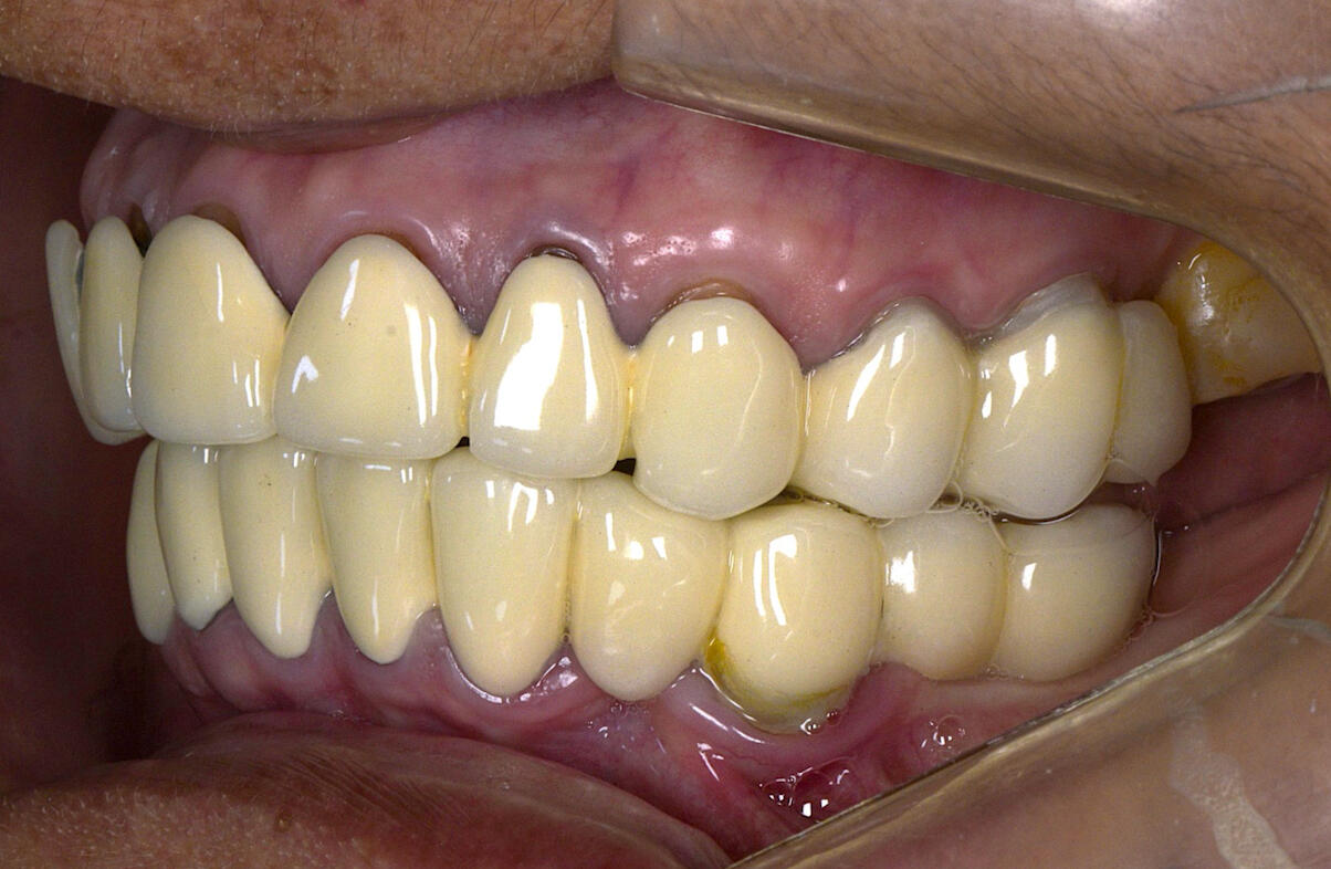
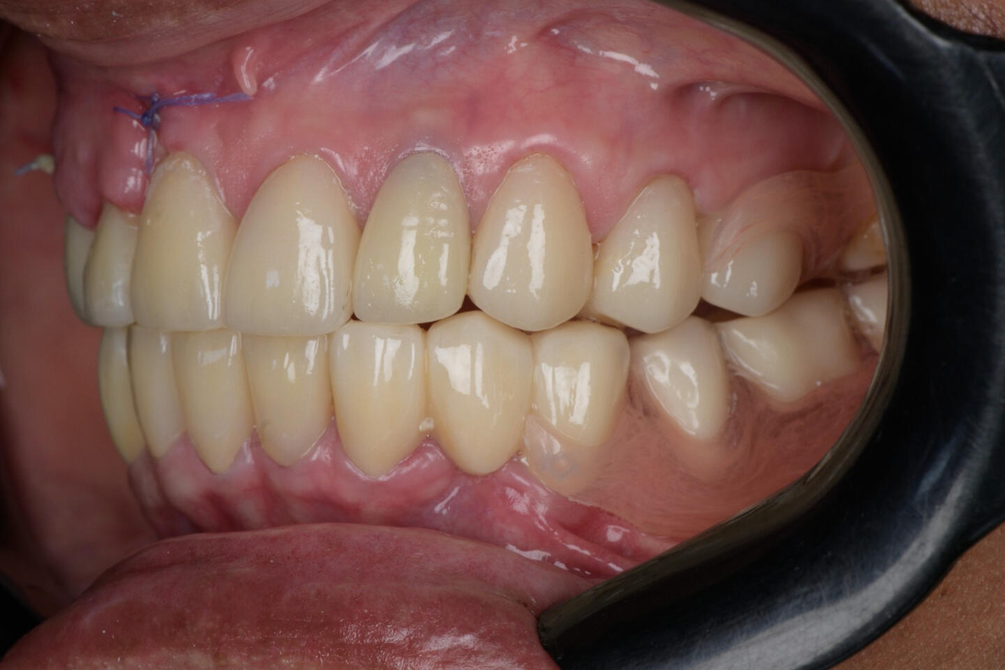
Comprehensive Oral Rehabilitation in an Elderly Patient with Functional ImpairmentAn elderly patient from a remote region sought specialized dental care to restore masticatory function and esthetic appearance. The patient presented with partial edentulism, occlusal instability, and compromised oral function affecting nutrition and quality of life.An interdisciplinary treatment plan was developed, including occlusal rehabilitation, prosthetic restoration, and functional reestablishment of vertical dimension and masticatory efficiency. Evidence-based restorative and prosthetic protocols were applied to achieve functional and esthetic outcomes.Post-treatment evaluation demonstrated restored occlusal stability, improved chewing function, and enhanced smile esthetics, contributing to better systemic health and patient quality of life.This case illustrates the relevance of comprehensive geriatric oral rehabilitation in aging populations and its impact on functional health outcomes.




Complex Prosthetic Rehabilitation in an International Patient with Prosthetic Failure and Periodontal ComplicationsA patient from the state of Georgia (United States) sought specialized dental treatment due to complex failure of existing fixed dental prostheses. Clinical examination revealed prosthetic fractures, gingival inflammation, food impaction, compromised periodontal support tissues, and disruption of the smile line and occlusal harmony.A comprehensive prosthetic and periodontal treatment protocol was implemented, focusing on biological compatibility, functional occlusion, periodontal stabilization, and esthetic reintegration. Advanced restorative techniques and biomaterials were utilized to ensure long-term functional and biological stability.Post-treatment outcomes demonstrated improved periodontal health, occlusal function, and esthetic balance of the smile.This international case reflects transnational recognition of clinical expertise and highlights the importance of high-level interdisciplinary restorative and periodontal rehabilitation in complex prosthetic failures.




2026. Academic Excellence and Institutional Endorsement: Official Recognition by the Colegio Odontológico del Perú. Colegio Odontológico del Perú (COP)In February 2026, Dr. Mayle Vizueta was recognized in a ceremony of significant importance to the Peruvian dental community: the Academic Excellence Recognition Ceremony organized by the Peruvian College of Dentists (Colegio Odontológico del Perú – COP). During this formal event, presided over by the National Dean, Dr. José Ricardo Rojas Rueda, dental surgeons who achieved the highest standards of specialization and official registration in the National Registry of Specialists (Registro Nacional de Especialistas – RNE) were honored.This recognition by the COP serves as documented evidence of “Recognition of Achievements and Significant Contributions to the Field.” It demonstrates that Dr. Vizueta possesses Exceptional Ability validated by the national regulatory authority. Such acknowledgment reflects professional merit that extends beyond individual accomplishment, positively impacting the public healthcare system and contributing to the scientific advancement of the dental profession.



2025. Participation in Mass Media: Social Impact and Thought Leadership. Radio Exitosa (Filial Huaraz)In February 2025, Dr. Mayle Vizueta was selected as an invited expert by Radio Exitosa (Huaraz branch), one of the most widely recognized and highly penetrated broadcasting networks in Peru. Her participation was non-commercial in nature and focused on public education and healthcare awareness.During the interview, she addressed the evolution of modern dentistry and emphasized the importance of overcoming psychological barriers that often prevent individuals from seeking timely oral healthcare. Her contribution aimed to promote public understanding, preventive practices, and improved access to dental services within the community.

2023. Record of Excellence in Oral Health and Entrepreneurial Leadership. Program “Emprende con Stephanie” – Radio Stereo Villa 101.7 FMDr. Mayle Vizueta Ganz was invited as a featured guest on “Emprende con Stephanie” on Radio Stereo Villa, where she shared her professional journey and entrepreneurial vision within the dental sector. With over 13 years of clinical experience and specialized training in Oral Rehabilitation, Aesthetic Dentistry, and Orofacial Harmonization, she emphasized the importance of combining academic excellence, technological innovation, and a human-centered approach to patient care.As Founder and General Manager of Clínica de la Sonrisa, she highlighted her commitment to expanding access to high-quality dental treatments, leading multidisciplinary teams, and integrating digital dentistry to enhance precision, patient comfort, and long-term clinical outcomes. Her participation reinforces her professional leadership and positive impact within the community.

© 2026 Dr. Mayle Vizueta. All Rights Reserved.